Skip to content Skip to sidebar Skip to footer

Was Hilft Bei Osteolyse

Osteolyse Ursachen Symptome Und Therapie Heilpraxis

Osteolyse Ursachen Symptome Und Therapie Heilpraxis

Was hilft bei osteolyse. In den gleichen 100 g - 200 mg. Bei diesem Phänomen handelt es sich um eine oder mehrere isolierte Knochenerweichungen. Man kann die Zahnkarriere durchbrechen.

Gegen die Schmerzen bei Osteoporose kann der Arzt eine passende Schmerztherapie einleiten. Bis zu 12 Stunden Schmerzlinderung. Abbau von Knochensubstanz Osteom Gutartige Knochengeschwulst.

Weniger bekannt ist dass bei Osteoporose neben Vitamin D auch noch auf eine Reihe weiterer Vitamine K C B6 B12 und Folsäure geachtet werden sollte. Die degenerative Osteolyse im Kiefer. Oft werden Schmerzmittel aus der Gruppe der nicht-steroidalen Antirheumatika NSAR eingesetzt wie Ibuprofen Acetylsalicylsäure ASS oder Diclofenac.

Vitamin D Vitamin D kann - zusammen mit Sonnenlicht - in unserer Haut gebildet werden. Eine diffuse Osteolyse führt zu einer insgesamt reduzierten Knochendichte eines Knochens. Dabei ist vor allem Bewegung im Freien gesundheitsfördernd.

Mit der doppelten Konzentration des. Und auf der pharmazeutischen Verpackung deutete trockener Seetang darauf hin dass er für Verstopfung verwendet werden kann. Vitamin D-Mangel Osteomalazie Rachitis und Osteolyse.

Vitamin D3 Creme kann bei folgenden Erkrankungen zur Linderung und Vorbeugung eingesetzt werden. Deswegen weiche Borsten verwenden und wenig Druck anwenden. Osteolyse ist die aktive Auflösung bzwResorption von KnochengewebeIhr Gegenteil ist die Osteogenese.

Vitamin D begünstigt den Kalziumeinbau in den Knochen. Unter einer oralen Therapie mit Zoledronat kann bei Patientinnen mit metastasiertem Mammakarzinom die Häufigkeit von Knochenereignissen um etwa 40 reduziert werden.

Abb 1 A Panoramaschichtaufnahme Bei Erstvorstellung Osteolyse Download Scientific Diagram

Abb 1 A Panoramaschichtaufnahme Bei Erstvorstellung Osteolyse Download Scientific Diagram

Osteolyse Wikipedia

Osteolyse Wikipedia

Abb 3 8 A D Nahezu Komplette Osteolyse Des 4 Halswirbelkorpers Hwk Download Scientific Diagram

Abb 3 8 A D Nahezu Komplette Osteolyse Des 4 Halswirbelkorpers Hwk Download Scientific Diagram

Abb 4 8 A B Osteolyse Des 9 Bwk Bei Prostatakarzinommetastase C Download Scientific Diagram

Abb 4 8 A B Osteolyse Des 9 Bwk Bei Prostatakarzinommetastase C Download Scientific Diagram

Osteolyse Ursachen Symptome Und Therapie Heilpraxis

Osteolyse Ursachen Symptome Und Therapie Heilpraxis

Osteolyse Wikipedia

Osteolyse Wikipedia

Effiziente Diagnostik Pathologischer Frakturen Sciencedirect

Effiziente Diagnostik Pathologischer Frakturen Sciencedirect

Effiziente Diagnostik Pathologischer Frakturen Sciencedirect

Effiziente Diagnostik Pathologischer Frakturen Sciencedirect

Figure 3 Die Pathologische Fraktur Aus Sicht Des Orthopaden Und Unfallchirurgen Springerlink

Figure 3 Die Pathologische Fraktur Aus Sicht Des Orthopaden Und Unfallchirurgen Springerlink

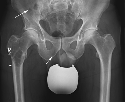
Datei Osteolyse Nach Huft Tep Jpg Wikipedia

Datei Osteolyse Nach Huft Tep Jpg Wikipedia

Osteolyse Gelenk Klinik De

Osteolyse Gelenk Klinik De

Zufallsbefunde In Der Muskuloskeletalen Radiologie Springerlink

Zufallsbefunde In Der Muskuloskeletalen Radiologie Springerlink

Fdok Die Versteckte Entzundung Im Kieferknochen Dguht E V

Fdok Die Versteckte Entzundung Im Kieferknochen Dguht E V

Figure 5 Osteomyelitis Und Knochennekrosen Des Kiefers Springerlink

Figure 5 Osteomyelitis Und Knochennekrosen Des Kiefers Springerlink

Trauma Spatfolgen Zahnerhalt Durch Dvt Bei Osteolyse Zwp Online Das Nachrichtenportal Fur Die Dentalbranche

Trauma Spatfolgen Zahnerhalt Durch Dvt Bei Osteolyse Zwp Online Das Nachrichtenportal Fur Die Dentalbranche

Osteogene Tumoren Springerlink

Osteogene Tumoren Springerlink

Tumorahnliche Knochenveranderungen Springerlink

Tumorahnliche Knochenveranderungen Springerlink

Https Www Zora Uzh Ch Id Eprint 106087 1 Zora Nl 106087 Pdf

Https Www Zora Uzh Ch Id Eprint 106087 1 Zora Nl 106087 Pdf

Chondroblastom Springerlink

Chondroblastom Springerlink

Intramedullare Nagelosteosynthese Der Ulna In Der Revisionschirurgie Springerlink

Intramedullare Nagelosteosynthese Der Ulna In Der Revisionschirurgie Springerlink

Osteoporose Vs Osteolyse

Osteoporose Vs Osteolyse

Osteolyse Gelenk Klinik De

Osteolyse Gelenk Klinik De

Septic Arthritis As A Severe Complication Of Elective Arthroscopy Clinical Management Strategies Patient Safety In Surgery Full Text

Septic Arthritis As A Severe Complication Of Elective Arthroscopy Clinical Management Strategies Patient Safety In Surgery Full Text

Osteolytische Knochenmetastasen Bei Krebserkrankungen

Osteolytische Knochenmetastasen Bei Krebserkrankungen

Tumoren Der Wirbelsaule Neuroonkologisches Zentrum Clemenshospital Munster

Tumoren Der Wirbelsaule Neuroonkologisches Zentrum Clemenshospital Munster

Management Ossarer Komplikationen Des Multiplen Myeloms Springerlink

Management Ossarer Komplikationen Des Multiplen Myeloms Springerlink

Osteolyse Funktion Aufgabe Krankheiten Medlexi De

Osteolyse Funktion Aufgabe Krankheiten Medlexi De

Effiziente Diagnostik Pathologischer Frakturen Sciencedirect

Effiziente Diagnostik Pathologischer Frakturen Sciencedirect

Malignant Fracture Of The T12 Vertebral Body Secondary To Download Scientific Diagram

Malignant Fracture Of The T12 Vertebral Body Secondary To Download Scientific Diagram

Zufallsbefunde In Der Muskuloskeletalen Radiologie Springerlink

Zufallsbefunde In Der Muskuloskeletalen Radiologie Springerlink

Incidence Of Bone Loss After Prestige Lp Cervical Disc Arthroplasty A Single Center Retrospective Study Of 396 Cases The Spine Journal

Incidence Of Bone Loss After Prestige Lp Cervical Disc Arthroplasty A Single Center Retrospective Study Of 396 Cases The Spine Journal

Radiologische Diagnostik Des Multiplen Myeloms Springerlink

Radiologische Diagnostik Des Multiplen Myeloms Springerlink

Incidence Of Bone Loss After Prestige Lp Cervical Disc Arthroplasty A Single Center Retrospective Study Of 396 Cases The Spine Journal

Incidence Of Bone Loss After Prestige Lp Cervical Disc Arthroplasty A Single Center Retrospective Study Of 396 Cases The Spine Journal

Rapid Acetabular Chondrolysis Following Hemiarthroplasty Of The Hip A Poor Prognostic Sign

Rapid Acetabular Chondrolysis Following Hemiarthroplasty Of The Hip A Poor Prognostic Sign

Zufallsbefunde In Der Muskuloskeletalen Radiologie Springerlink

Zufallsbefunde In Der Muskuloskeletalen Radiologie Springerlink

Osteolyse Doccheck Flexikon

Osteolyse Doccheck Flexikon

Effiziente Diagnostik Pathologischer Frakturen Sciencedirect

Effiziente Diagnostik Pathologischer Frakturen Sciencedirect

Rapid Acetabular Chondrolysis Following Hemiarthroplasty Of The Hip A Poor Prognostic Sign

Rapid Acetabular Chondrolysis Following Hemiarthroplasty Of The Hip A Poor Prognostic Sign

Effiziente Diagnostik Pathologischer Frakturen Sciencedirect

Effiziente Diagnostik Pathologischer Frakturen Sciencedirect

Periprosthetic Tibial Fractures In Total Knee Arthroplasty An Outcome Analysis Of A Challenging And Underreported Surgical Issue Bmc Musculoskeletal Disorders Full Text

Periprosthetic Tibial Fractures In Total Knee Arthroplasty An Outcome Analysis Of A Challenging And Underreported Surgical Issue Bmc Musculoskeletal Disorders Full Text

55 Multiple Osteolysen Unklarer Genese Arztekammer Nordrhein

55 Multiple Osteolysen Unklarer Genese Arztekammer Nordrhein

Radiosurf

Radiosurf

Osteolyse Doccheck Flexikon

Osteolyse Doccheck Flexikon

Knie Tep Lockerung Rontgenbild

Knie Tep Lockerung Rontgenbild

Osteolyse Gelenk Klinik De

Osteolyse Gelenk Klinik De

Excellent Clinical And Radiological Midterm Outcomes For The Management Of Recurrent Anterior Shoulder Instability By All Arthroscopic Modified Eden Hybinette Procedure Using Iliac Crest Autograft And Double Pair Button Fixation System 3 Year Clinical

Excellent Clinical And Radiological Midterm Outcomes For The Management Of Recurrent Anterior Shoulder Instability By All Arthroscopic Modified Eden Hybinette Procedure Using Iliac Crest Autograft And Double Pair Button Fixation System 3 Year Clinical

Radiosurf

Radiosurf

Ct Of The Hip Prosthesis Appearance Of Components Fixation And Complications Radiographics

Ct Of The Hip Prosthesis Appearance Of Components Fixation And Complications Radiographics

Periprosthetic Tibial Fractures In Total Knee Arthroplasty An Outcome Analysis Of A Challenging And Underreported Surgical Issue Bmc Musculoskeletal Disorders Full Text

Periprosthetic Tibial Fractures In Total Knee Arthroplasty An Outcome Analysis Of A Challenging And Underreported Surgical Issue Bmc Musculoskeletal Disorders Full Text

Es wird gesagt dass die Hilfe von Seetang aus Calcinosis Laminaria auf den hohen Gehalt an Magnesium 170 mg pro 100 g zurückzuführen ist.

In den gleichen 100 g - 200 mg. Unter einer oralen Therapie mit Zoledronat kann bei Patientinnen mit metastasiertem Mammakarzinom die Häufigkeit von Knochenereignissen um etwa 40 reduziert werden. Bei stärksten Schmerzen kann der Arzt eventuell auch sogenannte Opiate verschreiben. Wichtig für die Vorbeugung von Osteoporose sind Vorsorge und eine vorausschauende Lebensweise. Mehr zu Symptomen Diagnose Behandlung Komplikationen Ursachen und Prognose lesen. Das Scrabble online Wörterbuch liefert Dir Synonyme Definitionen und Wortbedeutungen von OSTEOLYSE. Abhängig vom Gesundheitszustand des Patienten ist vielfach eine Vortherapie durch bestimmte Nahrungsergänzungen zu empfehlen. Je nach Zustand und Ausgangslage können noch eine Begleit- oder Nachtherapie sinnvoll sein. Osteolysen können diffus den gesamten Knochen betreffen oder als umschriebene Osteolysen auf einen Bereich beschränkt sein.


Unter einer oralen Therapie mit Zoledronat kann bei Patientinnen mit metastasiertem Mammakarzinom die Häufigkeit von Knochenereignissen um etwa 40 reduziert werden. Unter einer oralen Therapie mit Zoledronat kann bei Patientinnen mit metastasiertem Mammakarzinom die Häufigkeit von Knochenereignissen um etwa 40 reduziert werden. Man kann die Zahnkarriere durchbrechen. Abbau von Knochensubstanz Osteom Gutartige Knochengeschwulst. Morgens und abends auftragen reicht aus. Wichtig für die Vorbeugung von Osteoporose sind Vorsorge und eine vorausschauende Lebensweise. Mit der doppelten Konzentration des.

Post a Comment for "Was Hilft Bei Osteolyse"