Skip to content Skip to sidebar Skip to footer

Tendinitis Calcarea Im Schulterbereich Therapie

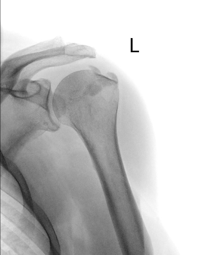
Kalkschulter Tendinosis Calcarea Diagnose Und Behandlung Gelenk Klinik De

Kalkschulter Tendinosis Calcarea Diagnose Und Behandlung Gelenk Klinik De

Tendinitis calcarea im schulterbereich therapie. Tendinitis calcarea Bursitis subcromialis. Wenn Symptome auftreten sind es meistens Schmerzen im Schulterbereich. Stoßwelle vor einer Woche haben sich die Beschwerden massiv verschlechtert.

Im Rahmen der konservativen Behandlung erhält der Patient schmerzstillende Medikamente wie nicht-steroidale Antirheumatika NSAR. Typisch ist die Ausübung ungewohnter Tätigkeiten wie Decke streichen Hecke schneiden Ausübung neuer Sportsdisziplinen oder ähnliches. Alle vier die Rotatorenmanchette bildenden Muskeln können betroffen sein.

Therapie der tendinitis calcarea. Tendinitis Sehnenreizungen Eine Tendinitis im Schulterbereich ist oft Folge einer mechanischen überstrapazierung. Die Tendinitis Calcarea oder auch Kalkschulter ist eine Erkrankung die insbesondere Frauen zwischen dem 30.

Du kannst durch die richtige Bewegung gezielt gegensteuern. Niemand kann mir sagen ob dies im Akutstadium sinnvoll ist. Jetzt sollte ich die zweite von drei Stosswellenanwendungen machen.

Sie ist eine degenerative Veränderung des fibroossären Übergangs. Kalkschulter - Ursachen Symptome und Therapie. Weitere häufigere Lokalisationen sind z.

Bei der Kalkschulter handelt es sich in der Regel um Verkalkungen bzw. Der Tendinosis calcarea auch kalzifizierende Tendinitis oder Sehnenverkalkung liegen kalkartige Ablagerungen Kalziumsalze im Ansatzbereich von Sehnen zugrunde. Schmerzen Bewegungseinschränkungen nächtlicher Ruheschmerz Begleiterkrankungen.

Eine Wirkung der Stosswelle sollte innerhalb der ersten 3 Monate nach der Behandlung erfolgen. Tendinitis calcarea genannt wird haben meist lange Beschwerden bevor die Diagnose Kalkschulter gestellt wird.

Tendinitis Calcarea Kalkschulter Schulter Ellbogen Hand Orthozentrum Cham Zug Schweiz Orthopadische Chirurgie Dr Med Rolf F Oetiker

Tendinitis Calcarea Kalkschulter Schulter Ellbogen Hand Orthozentrum Cham Zug Schweiz Orthopadische Chirurgie Dr Med Rolf F Oetiker

Tendinitis Calcarea Kalkschulter Schulter Ellbogen Hand Orthozentrum Cham Zug Schweiz Orthopadische Chirurgie Dr Med Rolf F Oetiker

Tendinitis Calcarea Kalkschulter Schulter Ellbogen Hand Orthozentrum Cham Zug Schweiz Orthopadische Chirurgie Dr Med Rolf F Oetiker

Kalkschulter Www Gelenk Doktor De

Kalkschulter Www Gelenk Doktor De

Kalkschulter Medcenter Bayreuth

Kalkschulter Medcenter Bayreuth

Tendinitis Calcarea Kalkschulter Schulter Ellbogen Hand Orthozentrum Cham Zug Schweiz Orthopadische Chirurgie Dr Med Rolf F Oetiker

Tendinitis Calcarea Kalkschulter Schulter Ellbogen Hand Orthozentrum Cham Zug Schweiz Orthopadische Chirurgie Dr Med Rolf F Oetiker

Kalkschulter Schulthess Klinik

Kalkschulter Schulthess Klinik

Tendinitis Calcarea Die Kalkschulter Leonardo

Tendinitis Calcarea Die Kalkschulter Leonardo

Kalkschulter Orthopaedicum Frankfurt

Kalkschulter Orthopaedicum Frankfurt

Kalkschulter Tendinosis Calcarea Ursachen Behandlung

Kalkschulter Tendinosis Calcarea Ursachen Behandlung

Tendinosis Calcarea Der Schulter

Tendinosis Calcarea Der Schulter

Operation Der Kalkschulter Entfernung Des Kalkdepots Gelenk Klinik De

Operation Der Kalkschulter Entfernung Des Kalkdepots Gelenk Klinik De

Kalkschulter Neue Erfolgreiche Therapien

Kalkschulter Neue Erfolgreiche Therapien

Die Kalkschulter

Die Kalkschulter

Kalkschulter Ursachen Symptome Und Therapie Schulterzentrum Saar Dr Gross

Kalkschulter Ursachen Symptome Und Therapie Schulterzentrum Saar Dr Gross

Beschwerdebild Kalkschulter

Beschwerdebild Kalkschulter

Kalkschulter Tendinosis Calcarea Diagnose Und Behandlung Gelenk Klinik De

Kalkschulter Tendinosis Calcarea Diagnose Und Behandlung Gelenk Klinik De

Impingementsyndrom Schulterengpasyndrom Orthopadisches Zentrum Weinstadt

Impingementsyndrom Schulterengpasyndrom Orthopadisches Zentrum Weinstadt

Kalkschulter Behandlung Dr Peter Buxbaumer Schulterspezialist Wienschulterspezialist Dr Buxbaumer

Kalkschulter Behandlung Dr Peter Buxbaumer Schulterspezialist Wienschulterspezialist Dr Buxbaumer

Kalkschulter Ursachen Diagnose Und Behandlung In Der Praxisklinik Orthospine

Kalkschulter Ursachen Diagnose Und Behandlung In Der Praxisklinik Orthospine

Kalkschulter Orthopadie Wurzburg Kitzingen

Kalkschulter Orthopadie Wurzburg Kitzingen

Starke Schmerzen Durch Kalkschulter

Starke Schmerzen Durch Kalkschulter

Okl Orthopadische Klinik Luzern Ag Kalkschulter Tendinitis Calcarea

Okl Orthopadische Klinik Luzern Ag Kalkschulter Tendinitis Calcarea

Kalkschulter Therapie Behandlung Hilfe Bei Schmerzen

Kalkschulter Therapie Behandlung Hilfe Bei Schmerzen

1

1

Orthopaden Dr Schomaecker Tegethoff Bochum Kalkschulter

Orthopaden Dr Schomaecker Tegethoff Bochum Kalkschulter

Sehnenverkalkung Wikipedia

Sehnenverkalkung Wikipedia

Arthroskopische Kalkentfernung Aus Dem Schultergelenk Sog Tendinitis Calcarea

Arthroskopische Kalkentfernung Aus Dem Schultergelenk Sog Tendinitis Calcarea

Kalkschulter Fange Jetzt An Deine Schulter Zu Befreien Liebscher Bracht

Kalkschulter Fange Jetzt An Deine Schulter Zu Befreien Liebscher Bracht

Kalkschulter Ortho Center In Koln

Kalkschulter Ortho Center In Koln

Kalkschulter Fange Jetzt An Deine Schulter Zu Befreien Liebscher Bracht

Kalkschulter Fange Jetzt An Deine Schulter Zu Befreien Liebscher Bracht

Kalkschulter Ganzheitliche Orthopadie

Kalkschulter Ganzheitliche Orthopadie

Stadienangepasste Therapie Der Tendinosis Calcarea Der Schulter Atos News

Stadienangepasste Therapie Der Tendinosis Calcarea Der Schulter Atos News

Kalkschulter Tendinosis Calcarea Diagnose Und Behandlung Gelenk Klinik De

Kalkschulter Tendinosis Calcarea Diagnose Und Behandlung Gelenk Klinik De

Kalkschulter Tendinosis Calcarea

Kalkschulter Tendinosis Calcarea

Frozen Shoulder Ursachen Symptome Therapie Gelenk Klinik De

Frozen Shoulder Ursachen Symptome Therapie Gelenk Klinik De

Schulterzentrum In Der Praxisklinik Travemunde Kalkschulter Tendinosis Calcarea

Schulterzentrum In Der Praxisklinik Travemunde Kalkschulter Tendinosis Calcarea

Tendinitis Calcarea Kalkschulter Schulter Ellbogen Hand Orthozentrum Cham Zug Schweiz Orthopadische Chirurgie Dr Med Rolf F Oetiker

Tendinitis Calcarea Kalkschulter Schulter Ellbogen Hand Orthozentrum Cham Zug Schweiz Orthopadische Chirurgie Dr Med Rolf F Oetiker

Kalkschulter Ubungen Bei Schmerzen In Der Schulter Youtube

Kalkschulter Ubungen Bei Schmerzen In Der Schulter Youtube

Die Kalkschulter

Die Kalkschulter

Kalkschulter Schulterschmerzen Therapie Schulterzentrum

Kalkschulter Schulterschmerzen Therapie Schulterzentrum

Stadienangepasste Therapie Der Tendinosis Calcarea Der Schulter Atos News

Stadienangepasste Therapie Der Tendinosis Calcarea Der Schulter Atos News

Kalkschulter Schulterchirurgie Leistungsspektrum Schulter Knie Und Sportorthopadie Departments Diakovere Annastift Diakovere

Kalkschulter Schulterchirurgie Leistungsspektrum Schulter Knie Und Sportorthopadie Departments Diakovere Annastift Diakovere

Stadienangepasste Therapie Der Tendinosis Calcarea Der Schulter Atos News

Stadienangepasste Therapie Der Tendinosis Calcarea Der Schulter Atos News

Kalkschulter Ursachen Diagnose Therapien Orthinform

Kalkschulter Ursachen Diagnose Therapien Orthinform

Kalkschulter 5 Ubungen Gegen Deine Schulterschmerzen Youtube

Kalkschulter 5 Ubungen Gegen Deine Schulterschmerzen Youtube

Schulterschmerzen Ursachen Ubungen Behandlung Gelenk Klinik De

Schulterschmerzen Ursachen Ubungen Behandlung Gelenk Klinik De

Kalkschulter Ursachen Diagnose Und Behandlung In Der Praxisklinik Orthospine

Kalkschulter Ursachen Diagnose Und Behandlung In Der Praxisklinik Orthospine

Kalkablagerungen In Der Sehnenplatte Kalkschulter Tendinitis Calcarea Ortho Clinics Webseite

Kalkablagerungen In Der Sehnenplatte Kalkschulter Tendinitis Calcarea Ortho Clinics Webseite

Https Encrypted Tbn0 Gstatic Com Images Q Tbn And9gcs8n5rpjiaoxer6ivjdbritgnql3grsoidc7alkzs Hvntmdkmd Usqp Cau

Https Encrypted Tbn0 Gstatic Com Images Q Tbn And9gcs8n5rpjiaoxer6ivjdbritgnql3grsoidc7alkzs Hvntmdkmd Usqp Cau

Schmerzen Bewegungseinschränkungen nächtlicher Ruheschmerz Begleiterkrankungen.

Bei der Kalkschulter handelt es sich in der Regel um Verkalkungen bzw. Du kannst durch die richtige Bewegung gezielt gegensteuern. Ich leide seit 2 Wochen an einer akuten Entzündung tendinitis calcarea der li Schulter und nehme 2x tgl Diclofenac 50 mg. Die Tendinitis Calcarea oder auch Kalkschulter ist eine Erkrankung die insbesondere Frauen zwischen dem 30. Sie wird meisten erst relativ spät bemerkt da sie zwischen den sogenannten Schüben relativ schmerzfrei verläuft. Tendinitis Sehnenreizungen Eine Tendinitis im Schulterbereich ist oft Folge einer mechanischen überstrapazierung. Unter einer Tendinosis calcarea versteht man die Einlagerung von Kalkherden in eine Sehne die zu Schmerzen führt. Symptome und Verlauf der Tendinitis. Auf sportliche Aktivitäten oder gymnastische Übungen sollte besser verzichtet werden weil sie.


Bei schmerzhafter Kalkschulter Tendinosis calcareaist die Stoßwellentherapie ESWT jedoch eine Erfolg versprechende Therapieoption die vor einer operativen Intervention ernsthaft in Erwägung gezogen werden sollte. Schmerzen Bewegungseinschränkungen nächtlicher Ruheschmerz Begleiterkrankungen. Bei schmerzhafter Kalkschulter Tendinosis calcareaist die Stoßwellentherapie ESWT jedoch eine Erfolg versprechende Therapieoption die vor einer operativen Intervention ernsthaft in Erwägung gezogen werden sollte. Suche nach medizinischen Informationen. Bei einer Kalkschulter handelt es sich um Ablagerungen in den Sehnen der schulterumgebenden Muskulatur. Eine Wirkung der Stosswelle sollte innerhalb der ersten 3 Monate nach der Behandlung erfolgen. Niemand kann mir sagen ob dies im Akutstadium sinnvoll ist.

Post a Comment for "Tendinitis Calcarea Im Schulterbereich Therapie"